Loading profile…
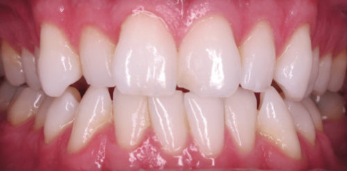
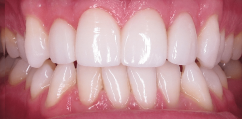
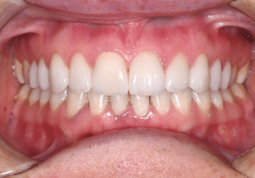
Veneers Results · Hoopes Dental | Afters